E' sempre più difficile fare a meno dello smartphone. Lo utilizziamo in ogni fase della nostra vita. Quando c'è da attendere per il passaggio dell'autobus, prima di andare a dormire ed è la prima cosa che guardiamo la mattina. I più attenti avranno notato che sono sparite le riviste dalle sale d'attesa degli studi medici, ormai anacronistiche rispetto alla possibilità di consultare il proprio gioiello di tecnologia.

Accade, però, che c'è qualcuno che riesce ad andare oltre e ad utilizzarlo dove nessuno avrebbe mai potuto pensare. E', infatti, davvero singolare quanto accaduto all'Ospedale Cardarelli di Napoli.

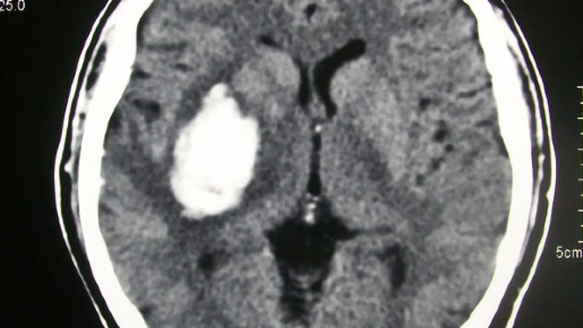
Smartphone nella tac: le cose da sapere

Una signora aveva deciso di rivolgersi al nosocomio partenopeo per effettuare degli accertamenti. Da tempo era tormentata dal mal di testa e come accade in questi casi, per stabilire l'origine della cefalea, l'esame più efficace è quello della tac, fatta anche con una certa urgenza. Chi è stato sottoposto ad un esame di questo tipo sa bene che lo staff si cura di fare in modo che il paziente si collochi nella posizione giusta e soprattutto che non entrino oggetti estranei.

Sembrava davvero essere stato tutto fatto a regola d'arte, se non fosse che al momento dell'inizio dell'esame sullo schermo è stato possibile notare come la paziente fosse riuscita ad accedere nel macchinario per la tomografia computerizzata con un telefono cellulare.

Cellulare nella tac: la giustificazione

La cosa fa anche sorridere, ma poteva rappresentare davvero un rischio inenarrabile per la signora. Il fatto diventa grottesco se si considera che, mentre i tecnici si accorgevano di quanto fosse accaduto, pare che la protagonista della vicenda sia stata rapidissima nel rispondere ad una chiamata. Inutile sottolineare come gli addetti abbiano immediatamente provveduto a sospendere l'esame per evitare che quel corpo estraneo potesse generare conseguenze sgradite.

Lascia, inoltre, basiti quella che è stata la spiegazione della signora che si è limitata a porre il rilievo il fatto che il non aver lasciato all'esterno il telefono fosse stata una semplice dimenticanza.

Il fatto è diventato virale

La macchina ovviamente ha provveduto a registrare le fasi in cui la donna ha risposto al telefono e, considerato anche il fatto che sono stati scongiurati pericoli, è stato possibile rendere pubblica la singolare immagine. Una sorta di monito attraverso cui probabilmente da parte dell'Ospedale c'è stata voglia di raccontare al mondo quanto una cosa così singolare, a tratti divertente, avesse in realtà potuto portare a conseguenze ben peggiori. A rendere ancor più dolce la vicenda c'è la notizia che l'esame è stato poi ripetuto e la signora ha potuto avere contezza del fatto che nessuna patologia neurologica fosse la causa di quel mal di testa.

Sarebbe, invece, forse opportuno ragionare sulla sua eventuale incapacità di stare lontano dal suo telefono, forse una dipendenza che condivide con milioni di persone. O forse si è trattato davvero di casualità.