Incredibile ma vero, un uomo in Inghilterra, ha vissuto con un parassita che gli passeggiava nel cervello per ben quattro anni. Il suo nome è 'tenia' ed era lungo un centimetro, l'uomo ha dovuto sopportare enormi disturbi fisici e psicologici come le convulsioni, il vomito, forti mal di testa, perdita di memoria e inoltre percepiva spesso strani odori.

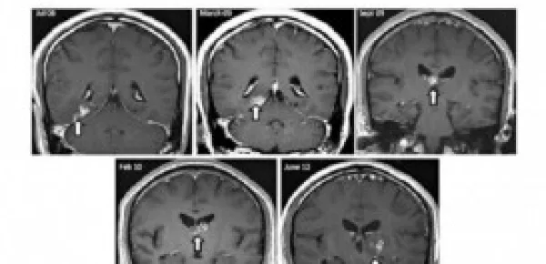
Il malcapitato è un cittadino britannico originario della Cina, che dal 2008 soffriva di questi fastidiosi disturbi, sino a quando ha deciso di rivolgersi ai medici i quali si sono accorti del parassita tramite alcune tac effettuate al cervello.

Il personale medico ha potuto constatare che la tenia si faceva largo tra le insenature del cervello, muovendosi indisturbata. Inizialmente avevano attribuito i sintomi ad alcune patologie come la sifilide, l'Hiv e la tubercolosi, ma poi successivamente, dopo approfonditi esami, si sono resi conto di avere a che fare con un animaletto che passeggiava nella calotta cranica del paziente.

Dopo aver effettuato due biopsie, hanno proceduto ad eseguire un intervento chirurgico per asportare l'intruso dal cervello dell'uomo. Il nome tecnico di questo essere è 'Spirometra erinaceieuropaei', un rarissimo parassita che può crescere sino ad un metro e mezzo di lunghezza e si trova generalmente nelle rane e nei crostacei.

Si registrano rari casi di infezione in Europa, dal 1953 ad oggi soltanto due persone hanno subito questo problema, gli stessi medici sono rimasti stupiti nel verificare questo genere di infezione, che stranamente si manifesta nei paesi europei. Per evitare le spiacenti visite di questo terribile parassita, è consigliabile non mangiare carne e pesce crudi per evitare che questo fastidiosissimo ospite entri nell'organismo umano.

Nonostante l'uomo sia stato sottoposto a intervento e liberato dal parassita, continua ancora ad avere problemi legati a questa disavventura, ma i medici hanno assicurato che con il passare del tempo, la sua salute tornerà sana come prima e rimarrà soltanto un brutto ricordo.