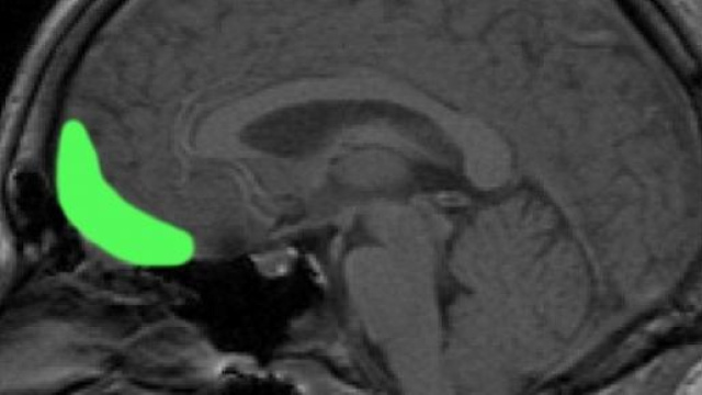
L'area di corteccia cerebrale denominata orbitofrontale laterale, che si trova grossomodo in corrispondenza dell'arcata sopracciliare, influirebbe in maniera determinante sulla scelta dei candidati da votare alle elezioni. Lo suggerisce uno studio condotto da un gruppo di ricercatori del prestigioso Montreal Neurological Institute, nella città di Montreal, in Québec, Canada.

L'esperimento

I ricercatori canadesi hanno reclutato un gruppo di persone con lesioni focali dell'area corticale orbitofrontale laterale, un gruppo di persone con lesioni corticali frontali che risparmiavano quell'area e un gruppo di persone sane, prive di lesioni cerebrali.

I partecipanti allo studio sono stati chiamati a scegliere e votare per un candidato in elezioni politiche simulate basandosi sulle foto degli aspiranti. I ricercatori hanno poi valutato quanta influenza avessero avuto due elementi di giudizio sul modo di apparire del candidato, ovvero il fascino e la competenza.

I risultati: "Abbiamo osservato" afferma Leslie Fellows, coordinatore dello studio "che, in accordo con studi precedenti al nostro, le persone senza lesioni cerebrali e le persone con lesioni frontali estranee alla corteccia orbitofrontale basavano la propria scelta sia sulla capacità di affascinare sia sul livello di competenza dei vari candidati trasmessi dalle fotografie. Al contrario, sulle decisioni di voto delle persone con una lesione dell'area corticale orbitofrontale laterale pesava unicamente il fascino esercitato dal candidato, suggerendo il ruolo fondamentale di quest'area nell'integrare informazioni di natura diversa nella decisione di voto".

Numerosi studi indicano che la corteccia orbitofrontale è implicata sia nel giudizio di aspetti sociali del comportamento sia nelle decisioni di carattere economico o finanziario. "La nostra ricerca" conclude Leslie Fellows "indica che la porzione più laterale di quest'area del cervello è necessaria per porre in relazione il giudizio sociale di una persona, basato sul suo aspetto esteriore, con la decisione di votare quella persona alle elezioni".