Dal Ministero della Salute italiano arriva oggi una notizia abbastanza inquietante. Infatti secondo i dati in possesso dei tecnici del Ministero, circa il 10% degli immigrati clandestini che arrivano in Italia avrebbero la Scabbia. La notizia ovviamente ha fatto il giro del paese in men che non si dica, venendo riportata da tutte le principali testate giornalistiche italiane tra cui anche Repubblica e Corriere della Sera. La causa scatenante questa epidemia di scabbia deriverebbe dalle scarse condizioni igieniche, che molto spesso caratterizzano le condizioni di navigazione dei clandestini che oramai sono sempre più spesso a dir poco precarie.

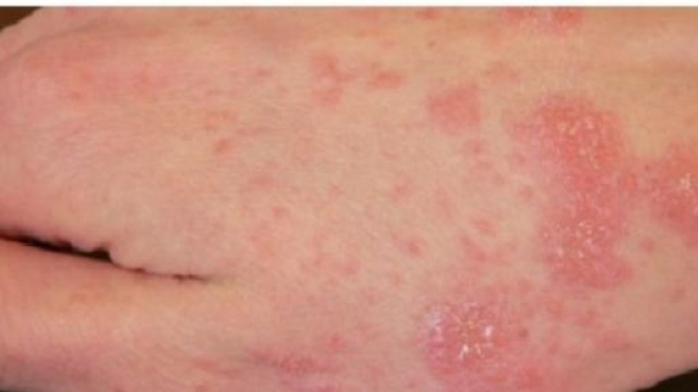
I numeri relativi i casi d scabbia sugli immigrati clandestini sono impietosi

I numeri parlano chiaro su circa 46 mila immigrati irregolari sbarcati nei porti italiani ben 4.700 sono coloro a cui è stata diagnosticata questa antipatica malattia. Il direttore generale del Ministero della Salute Ranieri Guerra interpellato sulla questione ha chiarito che la scabbia di per se non è una malattia pericolosa. Infatti più che una epidemia può essere considerata più semplicemente una patologia dermatologica assai semplice da curare e con cure molto economiche. Per Guerra quindi si tratta di numeri che non vanno considerati come preoccupanti». Questo soprattutto tenendo conto che in Italia normalmente ci sono circa 6.000 casi l'anno di questa malattia.

Il dato sebbene non preoccupante è in deciso aumento rispetto al 2014. Secondo Ranieri Guerra infatti con la fine di "Mare Nostrum" sono assai peggiorate le condizioni dei profughi e quindi questo aumento è da imputare a tale situazione. Quindi insomma dal Ministero della Salute si tende a minimizzare una malattia considerata più brutta da vedere che pericolosa per la salute dei cittadini italiani. In questo senso sarebbe molto importante aumentare il numero di medici "di confine" previsti nei luoghi in cui i profughi più spesso sbarcano. Attualmente sono 30 ma il Ministro della Salute Lorenzin spera di aumentarli di altre 60 unità.