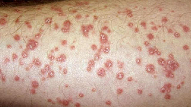
Paolo Gisondi e Giampiero Girolomoni, dell’Università di Verona, hanno appena pubblicato una ricerca su una rivista scientifica, Dovepress, sugli aspetti farmacologici, clinici e di sicurezza di APREMILAST, un inibitore della fosfodiesterasi 4 (PDE4). Il farmaco, approvato lo scorso anno in Italia per il trattamento della psoriasi e dell’artrite psoriasica, è risultato efficace e ben tollerato, anche in pazienti anziani. A livello mondiale si stima che soffrono di psoriasi circa 125 milioni di persone. E' una malattia infiammatoria sistemica, caratterizzata da lesioni cutanee squamose in rilievo.

L’artrite psoriasica, invece, colpisce 38 milioni di persone, ed è una patologia infiammatoria cronica, che provoca dolori articolari, rigidità, tumefazioni articolari e una riduzione del funzionamento fisico. Specificamente, l’Entesite (infiammazione dei siti di inserzione di tendini o legamenti nelle ossa) e la dattilite (infiammazione delle dita di mani e piedi, comunemente nota come “dita a salsicciotto”) sono delle manifestazioni tipiche dell'artrite psoriasica che possono comportare una disabilità significativa.

Un farmaco che inibisce la PDE4

La fosfodiesterasi 4 (PDE4) è un enzima che appartiene alla famiglia delle fosfodiesterasi, la stessa che è coinvolta nelle classi di farmaciutili al controllo delle disfunzioni erettile, come il Viagra, cioè la PDE5.

Nello specifico, la PDE4 è stata ampiamente investigata per il controllo di malattie autoimmune, l’Alzheimer, la demenza senile, l’ansia, la schizofrenia, il Parkinson, la sclerosi multipla, l’ictus, l’artrite reumatoide, nei problemi respiratori e in numerose altre patologie. L’inibizione di questo enzima porta a miglioramenti a livello cognitivo, neuroprotettivo e antinfiammatorio.

APREMILAST è proprio un inibitore della PDE4, sviluppato e commercializzato dalla Celgene, multinazionale del farmaco. Approvato nel 2014, dall’FDA statunitense, prima per il trattamento dell'artrite psoriasica, e subito dopo per il trattamento della psoriasi a placche da moderata a grave, in pazienti candidati alla fototerapia o alla terapia sistemica.

Lo scorso anno è stato approvato anche in Italia.

APREMILAST è stato il primo farmaco a somministrazione orale, approvato per il trattamento della psoriasi e dell’artrite psoriasica. Due patologie causate da uno squilibrio del sistema immunitario. È risultato efficace anche nelle “zone” più difficili come unghie e cuoio capelluto. Con un profilo di sicurezza piuttosto elevato che non richiede un monitoraggio periodico dei parametri di laboratorio.

Lo studio dell’Università di Verona

I ricercatori veronesi hanno documentato che l’uso di APREMILAST è ben tollerato ed efficace. La sua efficacia, per ora limitata al trattamento della psoriasi a placche da moderata a grave, può essere estesa ad altre indicazioni come la spondilite anchilosante, la malattia di Behçet, la colite ulcerosa, e la dermatite atopica.

Altro vantaggio di questo farmaco è la somministrazione orale che favorisce trattamenti anche per lunghi periodi senza particolari disagi. Inoltre, APREMILAST è efficace in zone difficili da trattare, tra cui le unghie, il cuoio capelluto, e le regioni palmo-plantare e dà un rapido miglioramento del prurito.

Fino ad oggi, le terapie in uso clinico per questa patologia avevano un limite, la loro scarsa tollerabilità, soprattutto per terapie sistemiche a lungo termine. APREMILAST è stato monitorato per 52 settimane di trattamento continuo. Ed è risultato ben tollerato. Altro dato “sorprendente” emerso da questo studio è che nel 20% dei pazienti con psoriasi, spesso sovrappesi o obesi, hanno avuto una riduzione del 0,5% del peso. Veramente poco ma significativo, e che merita ulteriori approfondimenti.