La nostra salute ogni giorno è sottoposta a rischi che possono essere di origine alimentare e ambientale, per questo motivo i ricercatori di tutto il mondo sono costantemente alla ricerca di nuove scoperte in campo medico come quella della cannabis a scopo terapeutico che dopo vari studi e analisi hanno constatato quanto sia di sollievo per molte patologie neurodegenerative. Un'altra scoperta scientifica sensazionale è quella portata a termine da un team di scienziati di Stanford che hanno ideato una nuova metodologia di cura in grado di arrestare il processo della metastasi mediante una proteina bioingegnerizzata.

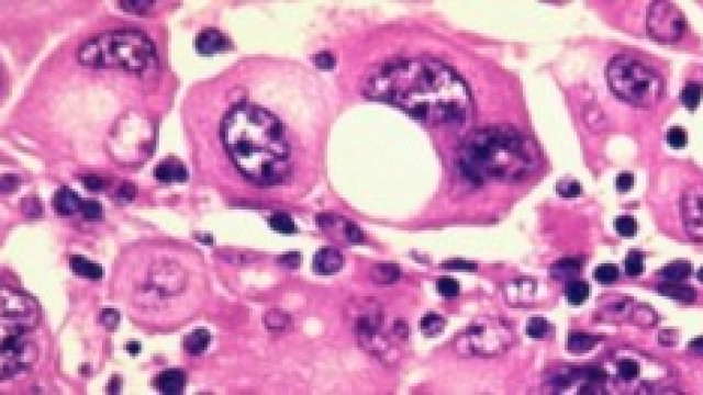
Come ben saprete la particolarità maggiormente devastante del tumore sono le metastasi, che non sono altro che cellule che si separano dalla massa primitiva tumorale e vanno ad intaccare tutto l'organismo causando il manifestarsi di altre e numerose neoplasie. La sola cura attualmente messa in atto è la chemioterapia, un processo con pesanti controindicazioni per l'organismo e che nella fase terminale del cancro metastatico non risulta essere abbastanza aggressiva da combatterlo. La proteina bioingegnerizzata non annienta le cellule tumorali, bensì ferma l'avanzamento delle molecole responsabili della formazione della metastasi.

Gli esiti iniziali sono stati resi noti sul giornale Nature Chemical Biology e pare che questa metodologia di cura testata sugli animali sia efficiente su due tipi di neoplasie riguardanti il sesso femminile, infatti si parla di seno e dell'ovaio.

Attualmente la nuova scoperta scientifica fa parte di un protocollo di ricerca, infatti come dichiarano i ricercatori, ci vorranno ancora quindici anni prima che questa terapia venga testata sugli uomini. Il direttore del Radiation Biology Program il cui nome è Amato Giaccia, ha dichiarato che la nuova cura per arrestare il tumore metastatico ha dato prova di non essere invasiva e di essere molto efficiente, inoltre è possibile che possa indicare una nuova metodica per le cure contrastanti le forme di neoplasia.