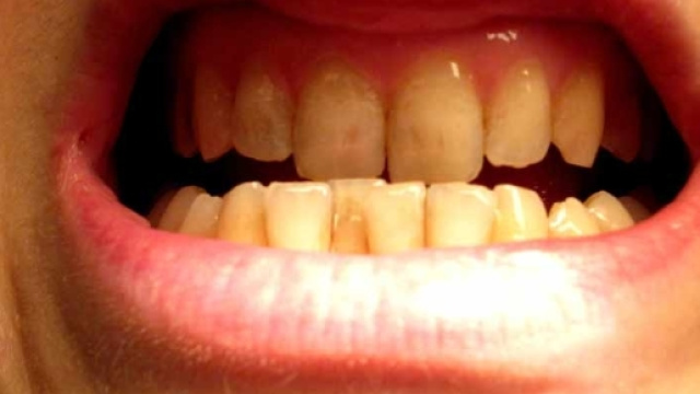
Quando si è molto stressati si tende a stringere molto i denti. Tale disturbo, ovvero il bruxismo, è sempre più diffuso in Italia: ne soffrono circa 15 milioni di persone, bambini compresi. Molti digrignano anche quando dormono, senza accorgersene. Ciò, alla lunga, può creare seri problemi ai denti e ad altre parti del corpo. Il presidente dell'Accademia Italiana di di Odontoiatria Protesica, Fabio Carboncini, ha affermato che i denti dovrebbero toccarsi solamente durante la masticazione degli alimenti e, occasionalmente, in fase di deglutizione.

Bruxismo: sotto accusa il sistema nervoso centrale

Il bruxismo, secondo gli esperti, non è conseguenza della malaocclusione. Tutto dipenderebbe dal sistema nervoso centrale. L'esperto Carboncini ha precisato che tra le cause del disturbo ci sono ansia, stress e, addirittura, la tensione durante le gare sportive. Sarebbe la vita stressa di oggi, dunque, la principale causa del digrignamento notturno dei denti. Stress, ansia, fumo, alcol e caffè sarebbero, secondo la maggioranza degli esperti, i fattori che aumentano il rischio di bruxismo. Non solo. Il disturbo può essere causato anche da droghe sintetiche come l'ecstasy. Fabio Carboncini ha sottolineato che stringere i denti di notte è fisiologico fino al 12esimo anno d'età; poi è patologico.

Secondo l'esperto molti adolescenti digrignano a causa dello stress accumulato a scuola o durante l'attività sportiva.

Il primo ad accorgersi del bruxismo è solitamente il dentista

In genere, il primo ad accorgersi del bruxismo è il dentista. Per questo non è difficile accertare l'usura dei denti o un forte sviluppo dei muscoli masticatori. Capita, inoltre, che i pazienti accusino cefalee continue o un rigonfiamento dei muscoli della mandibola.

Digrignare i denti non rappresenta solo un fastidio per il proprio partner ma può anche cagionare seri danni alla dentatura naturale e ad eventuali interventi odontoiatrici. Stringere i denti sembra un gesto semplice ma, in realtà, la contrazione non interessa solo la dentatura ma anche le spalle e il collo.

E' questa la ragione per cui chi soffre di bruxismo spesso deve fare i conti con forti dolori in tali zone. Chi vuole mantenere sana la propria dentatura, quindi, deve allontanare ansia e stress dalla propria vita.